歯垢染色によるブラッシング指導 

  

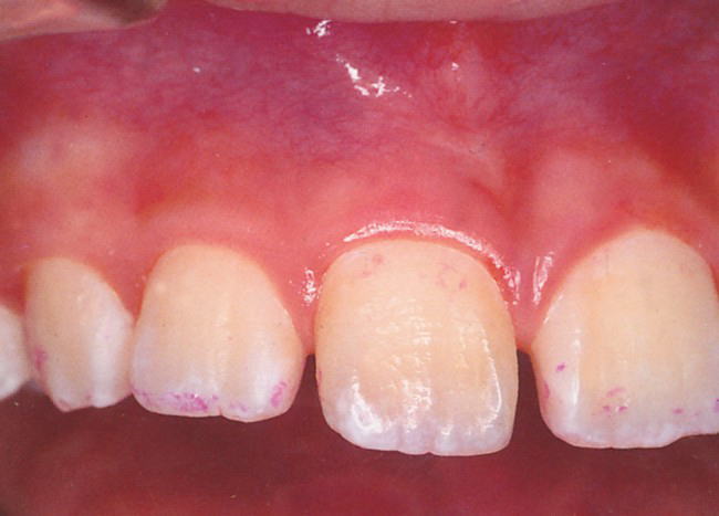
 プラーク(歯垢)は歯の表面に付着するものですが、多量に付着していても一見すると何もついていないようにみえることが多いようです。それはプラークの色が白色に近く歯の色と保護色の関係になってしまっているからです。十分時間をかけて磨きながら、磨き残しがあっても気づかないのは残念なことです。
 そこで当院では『歯垢染色法』を行ってプラーク付着の状況を目で確認しながらブラッシング指導を行っています。

 きれいなように見えますが

            染めてみるとプラーク付着が確認できます

                                              赤く染まった個所を効率的に取り除くブラッシングをします         



                 
                プラークが取り除かれすっきりしました

              調布市 竹内歯科医院 042-486-0381